
STRENGTH.
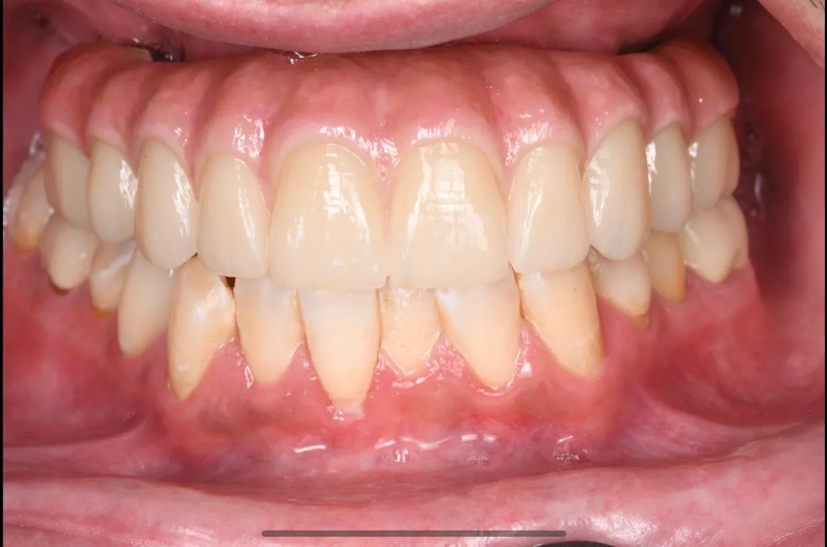
Crafted with expertise, precision, and care by Prestige Dental Laboratory. Custom titanium framework engineered for strength, precision, and lasting stability with angulated screw channels for optimal.

Tammy Hood, CDT
Patient-specific precision fit
Lightweight titanium strength
Angulated esthetic access


Long-lasting stability and strength
Excellent esthetics for full-arch restorations
Retrievable, screw-retained design for easy maintenance


