Precision.
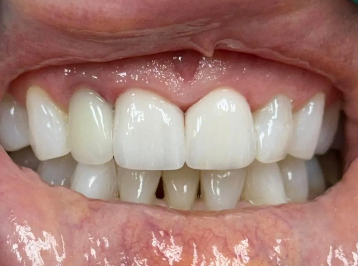
Every smile is unique. That’s why we offer complimentary custom shading, capturing every nuance, translucency, and texture with precision, so your restorations blend seamlessly and beautifully.

Tammy Hood, CDT
Complimentary custom shading
True-to-nature color harmony
Seamless fit from single to full-arch


Naturally lifelike smiles
Perfect harmony in any light
Faster approvals, fewer remakes


